В БСМП Ростова скончался 37-летний мужчина, который накануне поступил в медучреждение с воткнутой в голову шариковой ручкой. Точная причина смерти пока неизвестна.
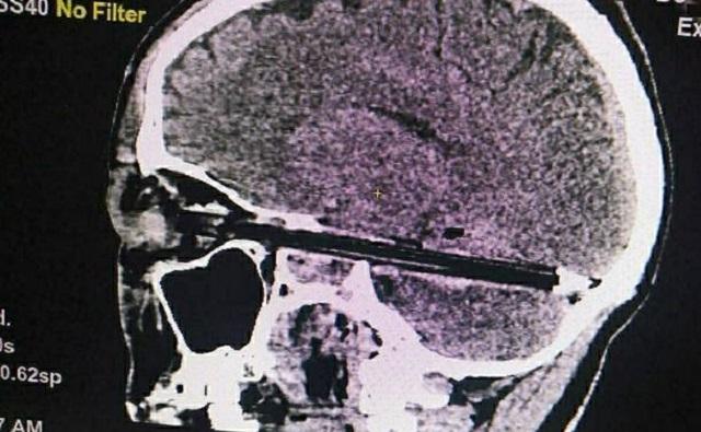
О необычном пациенте 8 февраля сообщалось в официальном Instagram ростовской БСМП. Рассказывалось, что мужчина поступил ночью «с проникающим колотым ранением глазной орбиты и головного мозга».
«В глаз ему вонзилась шариковая ручка, настолько, что, повредив глазное яблоко, вошла в мозг на весь диаметр полости черепа — от передней до задней черепных ямок», — говорилось в сообщении.
Пациента срочно прооперировали. Как выяснилось, ручка прошла всего в миллиметре от важнейших сосудов и ствола головного мозга. После извлечения инородного предмета мужчина был помещён в реанимацию. Вскоре он даже пришёл в сознание, однако утром 9 февраля умер.
По информации donnews.ru, пациент был заключённым, в БСМП его доставили в сопровождении сотрудников правоохранительных органов. По их версии, ручку он воткнул себе в глаз сам. Donday.ru со ссылкой на источник уточняет, что мужчина прибыл в ростовскую больницу из СИЗО № 3 Новочеркасска, травму он получил в ночь на 6 февраля, а сообщил об этом его сокамерник, который первым увидел торчащую из глаза соседа письменную принадлежность.
По какой причине мужчина решил нанести себе такую травму и сам ли он на самом деле это сделал, теперь останется тайной.
Добавим, что по предварительной версии мужчина скончался из-за заражения, занесённого в мозг вместе с инородным предметом. Однако точную причину сможет установить только вскрытие.
Сергей Деркачёв
Поделиться:
5,7 м/c
69%
751 мм рт. ст.

